腎臓病
- HOME
- 腎臓病
慢性腎臓病の診断と治療
腎臓は、健康でも、成長期を過ぎると、徐々に老化し壊れていきます。腎臓が、70%以上壊れた状態が、慢性腎臓病です。慢性腎臓病は、早期発見早期治療で、寿命が2倍近く延びることが報告されています(下記 +治療法 ①の図参照)
慢性腎臓病の症状
・水を飲む量が増えた
・食欲はあるけど痩せてきた
・口臭が激しくなった
慢性腎臓病の検査と治療
① 尿検査(UPC)
② 血液検査(Cre、BUN、SDMA)
↓
確定診断後
↓
③ Ca、IP、Kの検査
④ 血圧測定
⑤ ④で血圧が高い場合は、眼底検査
↓
腹部エコー検査(腎臓がん等の除外)
↓
⑥ ステージ分類(Ⅰ~Ⅳ)
⑦ ステージにあった治療法を選択
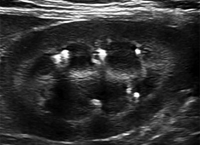
腹部エコー検査
① 正常

正常

正常
② 腎臓腫瘍・癌
腎臓腫瘍(犬、Tリンパ球性)
腎細胞がん(犬)
ガンによる巨大のう胞の形成(CT、2D/3Dエコー)
腎臓脂肪肉腫(犬)
慢性の膀胱炎疑いでしたが・・・・
③ ウイルス性白血病
ウイルス性白血病(猫、皮質と髄質の区別ができない)
④ 結石、石灰化
腎臓結石・尿管結石(犬)
腎臓結石(猫)
少なからずのケースで、CT造影をしながら手術をしなくてはいけない病態です。安易な処置によるトラブルが絶えない病態です。

石灰化
⑤ 多発性のう胞腎
下記項目参照
遺伝的な腎臓病
① 多発性のう胞腎
猫(スコティシュホールド)
スコティシュは、遺伝的な背景が高いと考えられる
猫(雑種)
発生初期は、血液検査ではわからないことが多い。やせ型の猫は、超音波検査が重要となる。
犬
フェレット
ハムスター
PKDは、初期~中期では、血液検査に引っかからないことが多い。特に純系の猫で、やせ型、体重が増えないような場合は、避妊手術などの際には、必ず腹部の画像診断をすべきです。PKDは、脾臓にも、嚢胞を伴うことがあります。
慢性腎臓病のステージ
犬猫の慢性腎障害のステージ

(獣医療では、医療と違い血液検査測定法に標準法がないので、検査機器によって数値の違いがある)
治療法
① 食事療法(全ステージ)
慢性腎臓病は、食事療法で寿命が延びることが明らかな、数少ない慢性疾患です。図は、疾患発見から500日の時点で、通常食(対照食)は生存率20%、腎臓病食(被験食)は70%であることを示しています。
・ドライフード
・缶詰、パウチ
・流動食

② 薬
・ラプロス(猫、全ステージ)
・アムロジピン(高血圧時)
・リンの吸着剤(⑥)
・活性炭(薬とサプリで、効果が異なる)
③ 点滴(輸液)療法(ステージ3以上)
・入院での静脈からの点滴
・通院での皮下点滴 (10分程度)
・自宅での点滴
④ 高血圧の治療
収縮期血圧が180 mmHgを超える場合は、網膜剥離による失明の危険性があり、高血圧の治療が必要。猫の20%程度は高血圧状態と言われている。犬もまれに高血圧を併発している。
動画は、高血圧症ではなく、水晶体後方脱臼に網膜はく離が併発した症例です。上記の写真のように、眼底部の網膜が剥離して浮き上がり、アホウドリの翼のようになっています。
⑤ 貧血の治療
犬ではHt30%以下、猫ではHt20%以下になった場合、多臓器不全のリスクが高まるので、鉄剤の投与に加え、造血剤の注射を初回は数日連続で、その後、週に1~2回程度のペースで注射していく。
⑥ リンの是正(ステージによる目標値)
リンは、腎臓の組織に障害を与える。ステージにより努力目標を設定し、吸着剤等で治療する。

⑦ カルシウム補正(ステージ3以上で注視)
⑧ 特殊な治療法(食道チューブの設置)
①と③を合わせた治療法。ステージが高く、食欲にむらがある場合に有用。食道にチューブを通して、チューブから流動食を与えます。チューブは、背中の皮膚から出します。普段は洋服などで、チューブの入口を保護します。
点滴
点滴治療は、脱水を補正するものです。次の3つの方法があり、それぞれメリット、デメリットがあります。初期治療では入院、継続治療では通院での皮下、自宅点滴がメインになります。
①入院点滴
| メリット | 最も効果的 |
|---|---|
| 成分を調整して対応できる | |
| 血圧のモニターも行える | |
| デメリット | 治療費が高額になる |
| 入院中、死亡する事が有る |
②皮下点滴
| メリット | ビタミン程度の同時投与は可能 |
|---|---|
| 10分程度の短時間 | |
| デメリット | 週に数回の通院になる |
③自宅での点滴
| メリット | 治療費が安く抑えられる |
|---|---|
| 通院のストレスが無い | |
| デメリット | 安易な頻回処置による悪化 |
| 飼主と動物との関係が壊れる時あり(痛いことをするので) |
細かい検査の必要性
慢性腎臓病は検査が簡単なだけに、発見が比較的容易です。しかし、高血圧や甲状腺機能亢進症などの病気を併発していることが多く、細かな治療戦略が重要です。
① 高血圧

高血圧併発症例では、失明の危険(+ 治療法④ )、二次的な心肥大が見られます。安易な点滴により、浮腫が起きたり、それらの病態が悪化します。
② 甲状腺機能亢進症
甲状腺機能亢進症との併発は厄介です。甲状腺機能亢進症の治療それ自体が、腎障害を進行させるからです。主治医との細かな治療戦略のコミュニケーションが重要です。
ヒトの医療との比較
ヒトでは、腎臓病治療のスタンダードは、血液透析、腹膜透析ですが、獣医療では一般的ではありません。当院では、腹膜透析を、入院治療下の特殊な状況でのみ導入中です。血液透析は、獣医療では、大学病院の研究レベルです。
輸血について
2023年現在、慢性腎障害治療目的の輸血は実施していません。
お問い合わせ

お問い合わせ